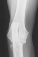
La valutazione ufficiale per il controllo della displasia del gomito prevedere che siano radiografati entrambi i gomiti, con cassetta radiografica posta sul tavolo a diretto contatto del gomito e senza l'impiego di griglie antidiffusione. Per la Centrale di Lettura della FSA sono richieste due proiezioni per ciascun gomito, una proiezione medio-laterale con il gomito mantenuto in flessione di circa 45°, senza pronazione né supinazione dell'estremità dell'arto, con sovrapposizione del profilo laterale e mediale del condilo omerale e con il fascio radiogeno centrato su di esso e delimitato all'articolazione.

La seconda proiezione richiesta è quella cranio-caudale obliqua con 15° circa di pronazione.

